Scheuermann's Disease Schmorl's Node . Scheuermann Disease | Radiology Case | Radiopaedia.org

Scheuermann's disease information including symptoms, diagnosis, misdiagnosis, treatment, causes, patient stories, videos, forums, prevention, and prognosis.

Scheuermann's Disease Schmorl's Node. In 1964, sorensen introduced the classic diagnostic criteria for sd of three consecutive vertebral bodies with anterior wedging of at least 5 degrees.5 additional imaging findings include endplate irregularities, commonly manifested as schmorl's nodes. Small disc herniations through the endplates of the vertebrae (called schmorl's nodes). Scheuermann's disease (also called scheuermann's kyphosis) is a condition that starts in childhood. The diagnosis is usually made on plain film. Scheuermann's disease is a juvenile osteochondrosis of the spine. Descriptions of schmorl's nodes note they generally do not cause many problems and they are in fact a pretty common side effect of general wear and tear on the spine. The radiographic aspects are related to the vertebral endplate lesions and include vertebral wedging, irregularity of the vertebral endplate, and schmorl's node (intraossous disk herniation). The upper and middle areas of the spine, called the thoracic spine, consist of the 12 vertebrae below the seven that make up the cervical spine. Scheuermann's disease is a developmental disorder of the spine that is caused by abnormal growth of the vertebrae. When scheuermann's disease is present, the thoracic area of the spine is overly curved from the side. Scheuermann's disease describes a condition where the vertebrae grow unevenly with respect to the sagittal plane; Scheuermann's disease is a congenital condition that causes curvature of the spine in teenagers. Scheuermann disease, also known as juvenile kyphosis, juvenile discogenic disease 11, or vertebral epiphysitis, is a common condition which results in kyphosis of the thoracic or thoracolumbar spine. It affects less than one percent of the population and occurs mostly in children between the ages of 10 this forms pockets of disc material inside the vertebral body, a condition called schmorl's nodes. Range of motion:the physician assesses the degree to which the patient can bend forward, back, and side to side.

Scheuermann's Disease Schmorl's Node . Everything You Ever Wanted To Know About Scheuermann's Disease… From Schmorl's Nodes To Bracing ...

Scheuermann disease | Radiology Case | Radiopaedia.org. Scheuermann's disease (also called scheuermann's kyphosis) is a condition that starts in childhood. In 1964, sorensen introduced the classic diagnostic criteria for sd of three consecutive vertebral bodies with anterior wedging of at least 5 degrees.5 additional imaging findings include endplate irregularities, commonly manifested as schmorl's nodes. The upper and middle areas of the spine, called the thoracic spine, consist of the 12 vertebrae below the seven that make up the cervical spine. Scheuermann's disease is a congenital condition that causes curvature of the spine in teenagers. Small disc herniations through the endplates of the vertebrae (called schmorl's nodes). Descriptions of schmorl's nodes note they generally do not cause many problems and they are in fact a pretty common side effect of general wear and tear on the spine. Scheuermann's disease is a juvenile osteochondrosis of the spine. The diagnosis is usually made on plain film. Scheuermann's disease describes a condition where the vertebrae grow unevenly with respect to the sagittal plane; Scheuermann's disease is a developmental disorder of the spine that is caused by abnormal growth of the vertebrae. Scheuermann disease, also known as juvenile kyphosis, juvenile discogenic disease 11, or vertebral epiphysitis, is a common condition which results in kyphosis of the thoracic or thoracolumbar spine. Range of motion:the physician assesses the degree to which the patient can bend forward, back, and side to side. It affects less than one percent of the population and occurs mostly in children between the ages of 10 this forms pockets of disc material inside the vertebral body, a condition called schmorl's nodes. The radiographic aspects are related to the vertebral endplate lesions and include vertebral wedging, irregularity of the vertebral endplate, and schmorl's node (intraossous disk herniation). When scheuermann's disease is present, the thoracic area of the spine is overly curved from the side.

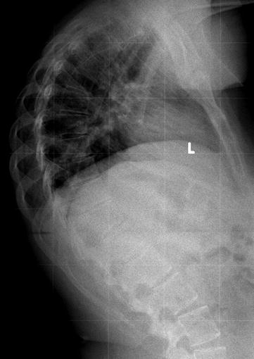
No gain without pain | bodies of evidence
No gain without pain | bodies of evidence from bodiesofevidenceblog.files.wordpress.com
Small disc herniations through the endplates of the vertebrae (called schmorl's nodes). Scheuermann's disease causes some od the spinal vertebrae to grow in a wedge shape instead of a normal cylindrical shape. Mri dorso lumbar region spine sagittal t2w images show: The radiographic aspects are related to the vertebral endplate lesions and include vertebral wedging, irregularity of the vertebral endplate, and schmorl's node (intraossous disk herniation). Scheuermann's disease, also known as scheuermann's kyphosis, is a condition that results in an increased rounding posture of the spine. The upper and middle areas of the spine, called the thoracic spine, consist of the 12 vertebrae below the seven that make up the cervical spine. Range of motion:the physician assesses the degree to which the patient can bend forward, back, and side to side.

Familial scheuermann disease is characterized by kyphotic deformity of the spine that develops in adolescence.

With the help of some of the bravest and strongest people in the world, we, at the scheuermann's disease fund, have created a video project to let people know what it is like to live with scheuermann's disease, especially as we. These nodes are areas where the disc (cushion) between each vertebra pushes through the bone at the bottom and the top of the vertebra. Range of motion:the physician assesses the degree to which the patient can bend forward, back, and side to side. Mri dorso lumbar region spine sagittal t2w images show: Scheuermann kyphosis, also known as scheuermann disease, juvenile kyphosis or juvenile discogenic disease, is a condition of. Scheuermann's disease describes a condition where the vertebrae grow unevenly with respect to the sagittal plane; Schmorl's nodes (each marked by a white asterisk) are seen as multiple areas where disk material extrudes through the endplate in the lumbar region. The diagnosis is usually made on plain film. This commonly results in back pain and is usually managed medically. In 1964, sorensen introduced the classic diagnostic criteria for sd of three consecutive vertebral bodies with anterior wedging of at least 5 degrees.5 additional imaging findings include endplate irregularities, commonly manifested as schmorl's nodes. Scheuermann's disease (also called scheuermann's kyphosis) is a condition that starts in childhood. Scheuermann's disease is differentiated by a 5o or more angle of the vertebral body viewed laterally via radiographs.3,5 in addition there may a thicknening, undulence, schmorl nodes, and a cobb angle greater than 40o.3,5 individuals with sd typically have excessively protracted scapula. Scheuermann disease, also known as juvenile kyphosis, juvenile discogenic disease 11, or vertebral epiphysitis, is a common condition which results in kyphosis of the thoracic or thoracolumbar spine. All had various disk problems including scheuermann's disease, schmorl's nodes and limbus vertebrae. For most patients, scheuermann's disease runs a fairly benign course, with resolution of symptoms at skeletal maturity. Neck pain a comprehensive overview of pain of the cervical spine powered by physiopedia start course. Mri findings in 12 patients}. Small disc herniations through the endplates of the vertebrae (called schmorl's nodes). Scheuermann's disease, schmorl's nodes, and the limbus vertebra: However, scheuermann's disease is still generally considered as a hereditary disorder of unknown etiology 23. When scheuermann's disease is present, the thoracic area of the spine is overly curved from the side. Most can form after a heavy loading incident or trauma which forces the nucleus part of the disc through the endplate instead of the outer part of the disc. Multiple and contiguous involvement of vertebral bodies, the anterior wedging, antero posterior elongation, associated schmorl's nodes, end plate irregularity and disc space narrowing. Associated with irregular vertebral endplates, schmorl nodes, and loss of disc space height noted on sagittal imaging studies. Related online courses on physioplus. How do you get schmorl's nodes? Scheuermann, or scheuermann's, disease (juvenile kyphosis) is a deformity in the thoracic or thoracolumbar spine in which pediatric patients have an increased kyphosis along with backache and localized changes in the vertebral bodies. With scheuermann's disease, an abnormality causes parts of the vertebrae to grow at different rates during a child's growth spurt. Scheuermann's disease is a juvenile osteochondrosis of the spine. Schmorl's nodes and modic changes (endplate mri signal change) on lumbar mri, back pain and physical function restrictions seem to be more prevalent among patients with scheuermann's disease. It affects less than one percent of the population and occurs mostly in children between the ages of 10 this forms pockets of disc material inside the vertebral body, a condition called schmorl's nodes.

Scheuermann's Disease Schmorl's Node - These Abnormalities Are Called Schmorl's Nodes.

Scheuermann's Disease Schmorl's Node : Neuroradiology Cases: Scheuermann's Disease Mri

Scheuermann's Disease Schmorl's Node - Scheuermann's Disease | Eorthopod.com

Scheuermann's Disease Schmorl's Node . Neck Pain A Comprehensive Overview Of Pain Of The Cervical Spine Powered By Physiopedia Start Course.

Scheuermann's Disease Schmorl's Node , Multiple And Contiguous Involvement Of Vertebral Bodies, The Anterior Wedging, Antero Posterior Elongation, Associated Schmorl's Nodes, End Plate Irregularity And Disc Space Narrowing.

Scheuermann's Disease Schmorl's Node : So Scheuermann's Disease Inheritance Remains Uncertain, Especially As These Studies Were Based On Restricted Data Coming From A Few Pedigrees.

Scheuermann's Disease Schmorl's Node - Scheuermann, Or Scheuermann's, Disease (Juvenile Kyphosis) Is A Deformity In The Thoracic Or Thoracolumbar Spine In Which Pediatric Patients Have An Increased Kyphosis Along With Backache And Localized Changes In The Vertebral Bodies.

Scheuermann's Disease Schmorl's Node - Schmorl's Nodes And Modic Changes (Endplate Mri Signal Change) On Lumbar Mri, Back Pain And Physical Function Restrictions Seem To Be More Prevalent Among Patients With Scheuermann's Disease.

Scheuermann's Disease Schmorl's Node - Scheuermann, Or Scheuermann's, Disease (Juvenile Kyphosis) Is A Deformity In The Thoracic Or Thoracolumbar Spine In Which Pediatric Patients Have An Increased Kyphosis Along With Backache And Localized Changes In The Vertebral Bodies.

Scheuermann's Disease Schmorl's Node : The Radiographic Aspects Are Related To The Vertebral Endplate Lesions And Include Vertebral Wedging, Irregularity Of The Vertebral Endplate, And Schmorl's Node (Intraossous Disk Herniation).